As someone with scoliosis? We understand how much it can interfere with daily tasks such as standing, sitting, walking, or even breathing. Finding relief from scoliosis can be a daunting journey with limited treatment options.
Traditionally, scoliosis treatments consist of pain management pills with terrible side effects or surgeries with grueling recovery periods. However, at Monterey Chiropractic Care in Monterey, we provide an effective Scoliosis Treatment Protocol that is absent of addictive medication and invasive procedures. Our protocol takes a holistic approach to scoliosis treatment through the utilization of chiropractic and alternative therapies such as:
Take the necessary steps towards scoliosis treatment and improving your quality of life with an appointment at our Monterey practice. Don't wait! Begin our comprehensive patient care for your scoliosis as soon as possible. Contact us at (831) 655-2273 to schedule your initial appointment and assessment.
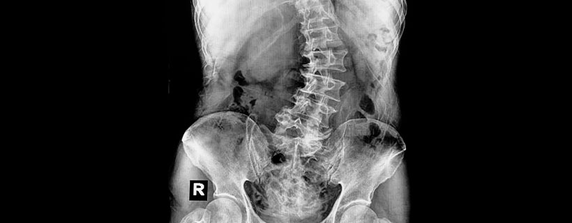
Living with scoliosis can have a tremendous impact on your life, from your emotional state to your ability to perform mundane tasks. Scoliosis is one condition that should be actively managed, or it may worsen if left untreated.
So, what exactly can happen if scoliosis goes untreated?
It's vital to address scoliosis promptly to prevent potential issues. Our chiropractor can assess your scoliosis and develop a tailored treatment plan that may include chiropractic, physical therapy modalities, and lifestyle modifications. Begin proper care for your scoliosis by scheduling an appointment today.
I’ve been seeing Dr. Diaz for chiropractic care, and she is truly exceptional. She is consistently kind, patient, and genuinely invested in my well-being. Every visit, she takes the time to listen, explain what she’s doing, and make sure I feel comfortable. Her adjustments are always effective, and I leave feeling noticeably better. I’m grateful to have found her and highly recommend her to anyone looking for quality care.
Mackenzie W.Monterey, California
Dr. Diaz and her staff are amazing. I was scheduled to go out of town for a weekend camping retreat. I spent the night prior to leaving with shooting pain and back spasms. I found her office online. Her staff was able to get me in to see her immediately that morning. She was skilled in her profession. I am generally apprehensive of chiropractors. However, she was gentle. She listened to some of my concerns and she focused her attention to the areas that were hurting. She was also friendly and enjoyable to be next to and I felt immediate relief from her adjustments. I highly recommend her services.
Aaron B.Monterey, California
I am so grateful that Dr. Diaz and her office assistants are on top of their game. I had thrown out my neck on a Wednesday and caved into calling them Sunday afternoon. By Tuesday I was adjusted and on my way to recovery. Now they help me maintain my mobility and being more aware of my body. Would recommend!
Lily G.Monterey, California
I was a skeptic, I waited decades to see a chiropractor and the first 3 I went to I didn't feel cared for. I am so glad that I gave it one more try and found Dr. Diaz. She is amazing, caring, she listens, and I feel like I am in amazing hands. My experience has been transformative. The office staff is 10/10 as well
MattMonterey, California
Monterey Chiropractic Care is truly exceptional! Dr. Diaz is professional, knowledgeable, and genuinely cares about her patients’ well-being. From the very first visit, she took the time to listen to my concerns and clearly explained my treatment plan. Her adjustments are incredibly effective and have made a huge difference in relieving my back and neck pain. The front desk staff is also amazing friendly, welcoming, and organized. They make every visit smooth and stress-free. I highly recommend Dr. Diaz.
Wendy b.Monterey, California
I’ve been going to Monterey Chiropractic Care and seeing Dr. Diaz for over a year now, and I couldn’t be more pleased with my experience. I go for bi-weekly adjustments, and it’s made such a difference. Before I started regular maintenance care, I would only visit a chiropractor when I was dealing with serious neck pain, but now that I’ve been getting consistent adjustments, I rarely encounter the severe pain I used to. Dr. Diaz and the staff are incredibly professional and accommodating, making scheduling appointments (even last minute ones) very easy. I highly recommend Monterey Chiropractic Care and Dr. Diaz
Luke G.Monterey, California
Dr. Diaz is phenomenal. I was never sold on chiropractic care until meeting Dr. Diaz. She has been working with me for almost two years and I feel so much better than I did when we met. I could barely sleep from back and neck pain and my chronic migraines were aggravated. After regular care, my migraines have been cut down significantly. The office is clean and friendly, I love the text message reminders (I need them). I’m so happy here and now I have friends seeing her too! Thank you Dr. Diaz!
Amanda Z.Monterey, California
Cannot rave enough about Dr Diaz and her amazingly accommodating, friendly, and communicative staff. This office is the warmest, most welcoming medical office I've stepped foot in, from the atmosphere to the accessibility, to the staff who truly care about their jobs and most importantly, their clients. On top of that, Dr Diaz is one of the most compassionate, personal doctors I have ever met, extremely in tune with her clients needs, and always remembers details about anything you share with her. I truly look forward to recharging and rejuvenating with the Monterey Chiro and care team weekly, it is my most crucial form of self care!
Jessica G.Monterey, California
Excelente lugar, todos profesionales. Con el respecto de los dolores se quitan y me siento con más energía. Después de venir con la Dr. Diaz siento que eh vuelto a mi vida normal. Recomendado 100%
Edelia P.Monterey, California
Servicio inmejorable, muy profesionales y amables. Me ayudaron a sentirme mejor desde el primer día!. Muchas gracias .
Brenda S.Monterey, California* Disclaimer: Results are not guaranteed and may vary from person to person.